Request Appointment
1202 N. Main Street, Hillsville, VA 24343
(276) 779-4506
1129 South Main Street, Galax, VA 24333
(276) 236-6109
Our Office
1129 South Main Street
Galax
,
VA
24333
(276) 236-6109
1202 N. Main Street
Hillsville
,
VA
24343
(276) 779-4506
Visit Us Online
Home
About Us
Our Hillsville Office
Our Galax Office
Our Team
New Patients
Smile Gallery
Testimonials
Dental Videos
Our Doctors
Marlon A. Goad, DDS
Manuel A. Perez, DDS
Services
Dental Sealants
Emergency Treatment
Extractions
Fluoride Treatment
Night Guards
Oral Cancer Screening
Oral Exams
Pediatric Dentistry
Periodontal Treatment
Preventative Program
Root Canals
Sedation Dentistry
CEREC®
Crowns & Caps
Dental Bridges
Dental Fillings
Dentures
Implant Dentistry
Cosmetic Dentistry
Teeth Whitening
Veneers
ZOOM! Whitening
Digital Radiography
Laser Dentistry
ClearCorrect®
Orthodontics
Dental Health
Contact Us
Request Appointment
Our Locations
Galax Office
Hillsville Office
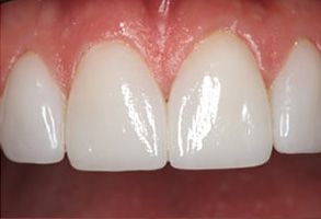
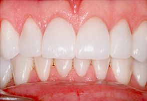
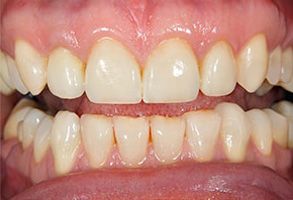
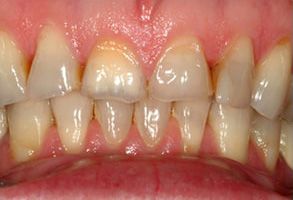
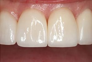
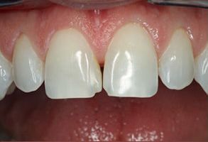
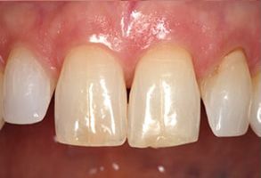
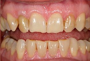
Dentistry Before and After Photos
Before
After
Before
After
Before
After
Before
After
Before
After
Before
After
Before
After
Our Office
1129 South Main Street
Galax
,
VA
24333
(276) 236-6109
1202 N. Main Street
Hillsville
,
VA
24343
(276) 779-4506
Visit Us Online
Hillsville Office:
(276) 779-4506
Galax Office:
(276) 236-6109
© 2026 Marlon A. Goad DDS, PC. All Rights Reserved. |
Accessibility Policy
Dentist Website Design
Hillsville Dentist | Dentist in Hillsville | Cosmetic Dentist Hillsville